Bangalore
08042756806
+919035468720

Angiogram Test in Bangalore for Precise Heart Diagnosis

update image

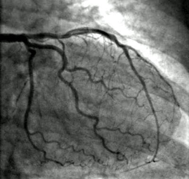
 An angiogram test is a crucial procedure for assessing the health of your heart’s blood vessels. When experiencing symptoms like chest pain, breathlessness, or unexplained fatigue, it’s essential to have a detailed understanding of your heart’s condition. In Bangalore, Dr. Kumar Kenchappa offers the angiogram procedure to help patients get a clear picture of their heart health. The test uses a special dye and imaging technique to show how blood flows through the arteries, revealing any blockages or narrowing that could affect heart function.

For many, the angiogram is a turning point transforming uncertainty into clarity. Once blockages are identified, doctors can recommend the best treatment options, whether it’s lifestyle changes, medications, or procedures like angioplasty. Most patients are surprised by how simple the procedure is and how quickly it provides the answers they need.

Heart disease is becoming more common, and taking preventive measures is crucial. If you’re experiencing any symptoms, or if you want to understand your heart health better, an angiogram is an excellent way to get answers.

To get a comprehensive heart examination through an angiogram, schedule your consultation with Dr. Kumar Kenchappa today.

 2026-02-24T05:57:07

Keywords