Bangalore
08042756806
+919035468720

Angiogram Test in Bangalore for Accurate Coronary Artery Diagnosis

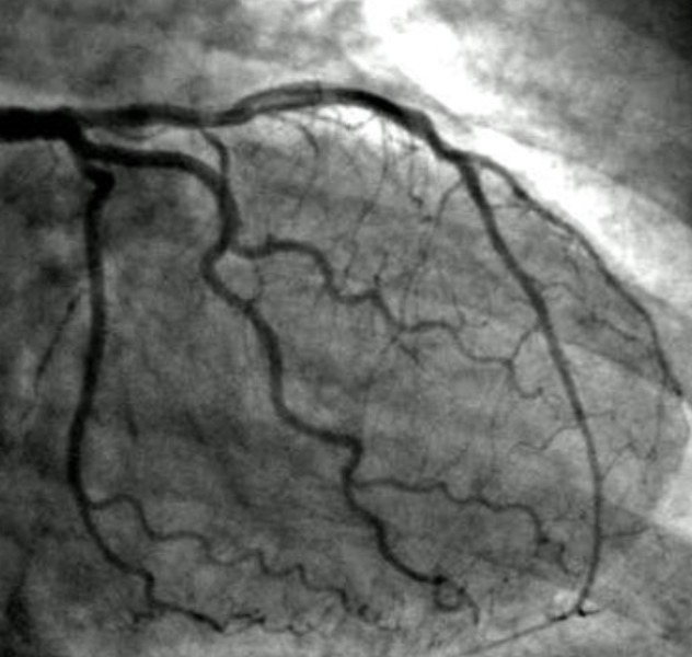
Angiogram test in Bangalore is often recommended when doctors need a precise understanding of the condition of the coronary arteries. Many patients visit Dr. Kumar Kenchappa in Bangalore when they experience persistent chest discomfort, breathlessness during routine activity, or unusual fatigue. These symptoms sometimes indicate restricted blood flow to the heart. An angiogram test helps doctors clearly visualize the arteries and determine whether there are blockages or narrowing that require treatment.

The angiogram procedure involves inserting a thin catheter through a blood vessel and guiding it toward the heart. A special contrast dye is then injected, allowing the arteries to appear clearly on imaging equipment. This enables the cardiologist to examine the flow of blood through the coronary arteries in detail. The results help determine whether lifestyle changes, medication, or procedures such as angioplasty are necessary. Patients often feel reassured after the test because it provides clarity about their heart condition.

In a growing metropolitan city like Bangalore, stress, long working hours, and sedentary routines can increase the risk of coronary artery disease. Early diagnosis through an angiogram test helps identify problems before they develop into major complications, making timely treatment possible.

If you want a detailed evaluation of your heart arteries, book your angiogram test consultation today.

 2026-03-26T05:12:52

Keywords